Food Deficiency Diseases Hindi / भोजन के अभाव से होने वाली बीमारियाँ
शरीर के लिए आवश्यक सन्तुलित आहार बहुत आवश्यक है. अगर व्यक्ति को लम्बे समय तक संतुलित भोजन नहीं मिलता है तो कुपोषण का कारन हो सकता है। कुपोषण के कारण बच्चों और महिलाओं की रोग प्रतिरोधक क्षमता कम हो जाती है, जिससे वे आसानी से कई तरह की बीमारियों के शिकार बन जाते हैं। अत: कुपोषण की जानकारियाँ होना अत्यन्त जरूरी है। कुपोषण प्राय: पर्याप्त सन्तुलित अहार के आभाव में होता है। बच्चों और स्त्रियों के अधिकांश रोगों की जड़ में कुपोषण ही होता है। स्त्रियों में रक्ताल्पता या घेंघा रोग अथवा बच्चों में सूखा रोग या रतौंधी और यहाँ तक कि अंधत्व भी कुपोषण के ही दुष्परिणाम हैं। इसके अलावा ऐसे पचासों रोग हैं जिनका कारण अपर्याप्त या असन्तुलित भोजन होता है।
जो बीमारियाँ भोजन में आवश्यक तत्वों व विटामिनों की कमी से होती हैं उसे अभाव की बीमारियाँ कहते हैं. मुख्य रूप से अभाव की बीमारियाँ निम्न हैं:
बेरी-बेरी (Beri-Beri)

यह विटामिन B की कमी से होने वाला रोग है. सामान्यत: यह विटामिन अनाज के बाहरी छिलकों में पाया जाता है. पोलिश किया हुआ चावल, दाल और अन्य अनाज खाने वाले लोगों को अक्सर ये बीमारी हो जाती है. इस बीमारी का मुख्य लक्ष्ण ये है कि रोगी की स्नायुश्क्ति बहुत कम हो जाती है और इसके पश्चात उसकी मांसपेशियां कमजोर हो के अंग फूल जाते हैं Deficiency Diseases
रिकेट्स या सूखा रोग (Rickets)

यह बीमारी विटामिन D की कमी के कारण होती है. इसका प्रभाव रोगी की हड्डियों पर होता है.
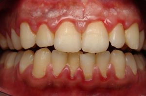
स्कर्वी (Scurvy)

यह विटामिन C की कमी से होने वाला रोग है. इसमें मसूड़े सूज जाते हैं और उनमे से रक्त बहने लगता है. त्वचा के नीचे घाव हो जाते हैं. इस अवस्था में विटामिन C युक्त फलों, सब्जियों, नींबू , आँवला, संतरा, गाजर, टमाटर आदि का सेवन करना चाहिए
इसे भी पढ़ें: संतुलित भोजन और स्वास्थ्य
एनीमिया (Anaemia)

रक्त में लोहे की कमी की वजह से हीमोग्लोविन और लाल रक्त कणिकाओं की कमी हो जाती है जिससे शरीर पीला दिखाई देने लगता है. इसका उपचार लौहयुक्त भोजन है
रतौंधी (Night Blindness)

रतौंधी विटामिन A की कमी से होने वाला रोग है. इसके कारण रात में कम दिखाई देता है
Deficiency Diseases
कुपोषण की पहचान
मानव शरीर को लम्बे समय तक सन्तुलित आहार के जरूरी तत्त्व न मिलने से निम्नलिखित लक्षण दिखाई देने लगते हैं। इन लक्षणों के आधार पर ही कुपोषण का पता चलता है।
- शरीर की वृद्धि रुकना।खाना
- मांसपेशियाँ ढीली होना अथवा सिकुड़ जाना।
- झुर्रियाँ युक्त पीले रंग की त्वचा।
- कार्य करने पर शीघ्र थकान आना।
- मन में उत्साह का अभाव चिड़चिड़ापन तथा घबराहट होना।
- बाल रुखे और चमक रहित होना।
- चेहरा कान्तिहीन, आँखें धँसी हुई तथा उनके चारों ओर काला वृत्त बनाना।
- शरीर का वजन कम होना तथा कमजोरी।
- नींद तथा पाचन क्रिया का गड़बड़ होना।
- हाथ पैर पतले और पेट बढ़ा होना या शरीर में सूजन आना (अक्सर बच्चों में)। डॉक्टर को दिखलाना चाहिए। वह पोषक तत्त्वों की कमी का पता लगाकर आवश्यक दवाइयाँ और खाने में सुधार के बारे में बतलाएगा।
कुपोषण के कारण
विकसित राष्ट्रों की अपेक्षा विकासशील देशों में कुपोषण की समस्या विकराल है। इसका प्रमुख कारण है गरीबी। धन के अभाव में गरीब लोग पर्याप्त, पौष्टिक चीजें जैसे दूध, फल, घी इत्यादि नहीं खरीद पाते। कुछ तो केवल अनाज से मुश्किल से पेट भर पाते हैं। लेकिन गरीबी के साथ ही एक बड़ा कारण अज्ञानता तथा निरक्षरता भी है। अधिकांश लोगों, विशेषकर गाँव, देहात में रहने वाले व्यक्तिय़ों को सन्तुलित भोजन के बारे में जानकारी नहीं होती, इस कारण वे स्वयं अपने बच्चों के भोजन में आवश्यक वस्तुओं का समावेश नहीं करते, इस कारण वे स्वयं तो इस रोग से ग्रस्त होते ही हैं साथ ही अपने परिवार को भी कुपोषण का शिकार बना देते हैं।
इनके अलावा भी कुछ और कारण हैं जो निम्नलिखित हैं:
गर्भावस्था के दौरान लापरवाही
भारत में हर तीन गर्भवती महिलाओं में से एक कुपोषण की शिकार होने के कारण खून की कमी अर्थात् रक्ताल्पता की बीमारी से ग्रस्त हो जाती हैं। हमारे समाज में स्त्रियाँ अपने स्वयं के खान-पान पर ध्यान नहीं देतीं। जबकि गर्भवती स्त्रियों को ज्यादा पौष्टिक भोजन की आवश्यकता होती है। उचित पोषण के अभाव में गर्भवती माताएँ स्वयं तो रोग ग्रस्त होती ही हैं साथ ही होने वाले बच्चे को भी कमजोर और रोग ग्रस्त बनाती हैं। अक्सर महिलाएँ पूरे परिवार को खिलाकर स्वयं बचा हुआ रूखा-सूखा खाना खाती हैं, जो उनके लिए अपर्याप्त होता है।
खाद्य कमी से होने वाले रोग: कारण, लक्षण और बचाव
हमारा शरीर एक मशीन की तरह है जिसे सही तरीके से चलाने के लिए ऊर्जा, विटामिन, खनिज और प्रोटीन जैसे पोषक तत्वों की ज़रूरत होती है। अगर ये पोषक तत्व हमें पर्याप्त मात्रा में नहीं मिलते तो शरीर में पोषण की कमी (Nutritional Deficiency) हो जाती है। इसी कमी से कई प्रकार के रोग जन्म लेते हैं जिन्हें हम Food Deficiency Diseases (खाद्य कमी से होने वाले रोग) कहते हैं।
आज की भागदौड़ भरी ज़िंदगी में फास्ट फूड, जंक फूड और असंतुलित डाइट के कारण यह समस्या तेजी से बढ़ रही है। इस लेख में हम विस्तार से जानेंगे कि कौन-कौन से रोग भोजन की कमी से होते हैं, उनके लक्षण क्या हैं और उनसे कैसे बचा जा सकता है।
पोषण तत्व और उनका महत्व
- कार्बोहाइड्रेट (Carbohydrates) – शरीर को ऊर्जा देते हैं।
- प्रोटीन (Proteins) – शरीर की वृद्धि और मरम्मत में मदद करते हैं।
- विटामिन (Vitamins) – शरीर की कई जैविक प्रक्रियाओं को नियंत्रित करते हैं।
- खनिज (Minerals) – हड्डियों, दांतों और रक्त निर्माण में सहायक।
- वसा (Fats) – ऊर्जा का दूसरा बड़ा स्रोत और शरीर को गर्म रखने में मददगार।
- पानी (Water) – शरीर की हर क्रिया के लिए आवश्यक।
अगर इनमें से कोई भी पोषक तत्व लंबे समय तक शरीर को नहीं मिलता तो कमी से संबंधित रोग हो जाते हैं।
खाद्य कमी से होने वाले प्रमुख रोग
1. कुपोषण (Malnutrition)
- कारण: पर्याप्त भोजन न मिलना या भोजन में पोषक तत्वों की कमी।
- लक्षण: कमजोरी, वज़न कम होना, बच्चों की वृद्धि रुक जाना।
- प्रभाव: बच्चों में मानसिक और शारीरिक विकास प्रभावित होता है।
2. क्वाशिओरकर (Kwashiorkor)
- कारण: प्रोटीन की कमी।
- लक्षण: पेट फूल जाना, त्वचा का रंग बदलना, शरीर में सूजन, बाल झड़ना।
- प्रभाव: बच्चों में यह रोग सबसे अधिक होता है।
3. मेरस्मस (Marasmus)
- कारण: ऊर्जा (Carbohydrates + Protein) की कमी।
- लक्षण: बहुत दुबला-पतला शरीर, हड्डियाँ बाहर निकल आना, थकान।
- प्रभाव: यह भी ज़्यादातर छोटे बच्चों में देखा जाता है।
4. एनीमिया (Anemia)
- कारण: आयरन (Iron) और विटामिन B12 की कमी।
- लक्षण: थकान, चक्कर आना, चेहरे पर पीलापन, दिल की धड़कन तेज होना।
- प्रभाव: खासकर महिलाओं और किशोरियों में यह आम है।
5. रातांधता (Night Blindness)
- कारण: विटामिन A की कमी।
- लक्षण: रात में साफ दिखाई न देना, आंखों का सूखना।
- प्रभाव: समय रहते इलाज न हो तो अंधापन भी हो सकता है।
6. बेरी-बेरी (Beriberi)
- कारण: विटामिन B1 (थायामिन) की कमी।
- लक्षण: कमजोरी, मांसपेशियों में दर्द, भूख कम लगना, नर्वस सिस्टम प्रभावित होना।
7. स्कर्वी (Scurvy)
- कारण: विटामिन C की कमी।
- लक्षण: मसूड़ों से खून आना, दांत हिलना, घाव देर से भरना।
8. रिकेट्स (Rickets)
- कारण: विटामिन D और कैल्शियम की कमी।
- लक्षण: बच्चों की हड्डियाँ टेढ़ी हो जाना, हड्डियों में दर्द।
9. गोइटर (Goiter)
- कारण: आयोडीन की कमी।
- लक्षण: गले में सूजन, थायरॉइड ग्रंथि का बढ़ना।
10. ऑस्टियोपोरोसिस (Osteoporosis)
- कारण: कैल्शियम और विटामिन D की कमी।
- लक्षण: हड्डियों का कमजोर होना, फ्रैक्चर जल्दी होना।
खाद्य कमी से होने वाले कुछ प्रमुख रोग
| पोषक तत्व की कमी | रोग का नाम | प्रमुख लक्षण | प्रभावित वर्ग |
|---|---|---|---|
| प्रोटीन | क्वाशिओरकर | पेट फूलना, बाल झड़ना | बच्चे |
| प्रोटीन + ऊर्जा | मेरस्मस | दुबला-पतला शरीर | बच्चे |
| आयरन | एनीमिया | कमजोरी, चक्कर आना | महिलाएँ, किशोरियाँ |
| विटामिन A | रातांधता | रात में दिखना बंद | बच्चे |
| विटामिन B1 | बेरी-बेरी | कमजोरी, नर्वस सिस्टम प्रभावित | सभी |
| विटामिन C | स्कर्वी | मसूड़ों से खून आना | सभी |
| विटामिन D + कैल्शियम | रिकेट्स/ऑस्टियोपोरोसिस | हड्डियाँ कमजोर, दर्द | बच्चे, बुज़ुर्ग |
| आयोडीन | गोइटर | गले में सूजन | सभी |
खाद्य कमी से बचाव के उपाय
- संतुलित आहार लें – भोजन में दाल, चावल, रोटी, हरी सब्ज़ियाँ, दूध, अंडा, फल आदि शामिल करें।
- हरी पत्तेदार सब्जियाँ खाएँ – पालक, मेथी, सरसों आयरन और विटामिन से भरपूर होती हैं।
- दूध और दूध से बने उत्पाद – कैल्शियम और विटामिन D की कमी दूर करने में सहायक।
- मौसमी फल – संतरा, आम, अमरूद, नींबू विटामिन C के अच्छे स्रोत हैं।
- मांसाहार या दालें – प्रोटीन की कमी से बचाते हैं।
- आयोडीन युक्त नमक – गोइटर जैसी बीमारी से बचाता है।
- धूप लें – सूरज की रोशनी से शरीर में विटामिन D बनता है।
निष्कर्ष
खाद्य कमी से होने वाले रोग गंभीर समस्या हैं, लेकिन सही और संतुलित आहार लेकर इनसे आसानी से बचा जा सकता है। बच्चों, गर्भवती महिलाओं और बुज़ुर्गों को खासतौर पर पौष्टिक भोजन देना ज़रूरी है। याद रखिए – “सही आहार ही स्वस्थ जीवन की कुंजी है।”
FAQ सेक्शन – भोजन की कमी से होने वाले रोग
Q1. भोजन की कमी से होने वाले रोग क्या होते हैं?
👉 जब हमारे शरीर को ज़रूरी पोषक तत्व (जैसे प्रोटीन, विटामिन, खनिज) सही मात्रा में नहीं मिलते, तब जो बीमारियाँ होती हैं, उन्हें भोजन की कमी से होने वाले रोग कहते हैं।
Q2. प्रोटीन की कमी से कौन-सी बीमारी होती है?
👉 प्रोटीन की कमी से क्वाशिओरकर और मेरिज़्मस जैसे रोग होते हैं। इसमें बच्चों का विकास रुक जाता है और शरीर कमजोर हो जाता है।
Q3. विटामिन A की कमी से कौन-सी बीमारी होती है?
👉 विटामिन A की कमी से रात में दिखने की समस्या (नाइट ब्लाइंडनेस) और आँखों से जुड़ी अन्य परेशानियाँ होती हैं।
Q4. आयरन (लोहा) की कमी से कौन-सा रोग होता है?
👉 आयरन की कमी से एनीमिया रोग होता है जिसमें खून की कमी हो जाती है और व्यक्ति बहुत जल्दी थक जाता है।
Q5. भोजन की कमी से बचाव कैसे किया जा सकता है?
👉 संतुलित आहार लेना, हरी सब्जियाँ, दूध, दाल, अंडा, फल और अनाज नियमित रूप से खाना चाहिए।
Keywords:
- भोजन की कमी से होने वाले रोग
- Food Deficiency Diseases in Hindi
- पोषण की कमी से रोग
- विटामिन की कमी से रोग
- प्रोटीन की कमी से रोग
- संतुलित आहार के फायदे
- एनीमिया रोग कारण
- क्वाशिओरकर और मेरिज़्मस
- पोषण और स्वास्थ्य हिंदी में

Leave a Reply